ホーム
院長紹介
診療案内
矯正歯科
大人の矯正
小児矯正
マウスピース矯正
インプラント
インプラントオーバーデンチャー
小児歯科
予防歯科
歯周病
ブルーラジカルについて
虫歯治療
審美歯科
入れ歯
ホワイトニング
根管治療
オーラルエステ
設備紹介
施設基準について
料金表
アクセス
ホーム
症例一覧
マウスピース矯正
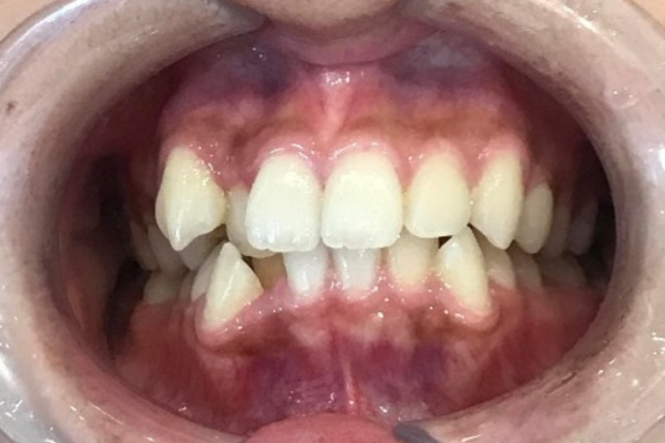
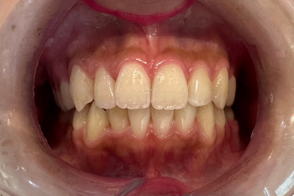
叢生|マウスピース矯正(インビザライン)の症例
叢生|マウスピース矯正(インビザライン)の症例
治療方法
インビザライン
主訴
上下の前歯のガタツキ
治療期間
1年半
リスク
装着中の違和感
虫歯、歯肉炎
関連記事
マウスピース矯正
叢生|マウスピース矯正(クリアコレクト)の症例
2026.01.08
マウスピース矯正
叢生|マウスピース矯正(インビザライン)の症例
2026.01.08
マウスピース矯正
出っ歯|マウスピース矯正(クリアコレクト)の症例
2026.01.08
マウスピース矯正
すきっ歯|マウスピース矯正(クリアコレクト)の症例
2026.01.08
マウスピース矯正
出っ歯|マウスピース矯正(クリアコレクト)の症例
2026.01.08
最近の記事
叢生|マウスピース矯正(インビザライン)の症例
2026.01.8
叢生|マウスピース矯正(インビザライン)の症例
2026.01.8
出っ歯|マウスピース矯正(クリアコレクト)の症例
2026.01.8
カテゴリー
症例一覧
マウスピース矯正
インプラント
アーカイブ
2026年1月
ホーム
院長紹介
診療案内
矯正歯科
大人の矯正
小児矯正
マウスピース矯正
インプラント
インプラントオーバーデンチャー
小児歯科
予防歯科
歯周病
ブルーラジカルについて
虫歯治療
審美歯科
入れ歯
ホワイトニング
根管治療
オーラルエステ
設備紹介
施設基準について
料金表
アクセス